家住汕尾的阿勇(假名)本年52岁,从21年前开动出现癫痫大发作以来,他险些从未独自出过门。近日kaiyun网址,广州的大夫从他颅内取出一条潜藏长达20余年、约10厘米的裂头蚴,他感到前所未有的纵情。
不敢独自外出的须眉
“距离刻下一经有21年了!”阿勇叹惜说念。那晚,他在睡梦中俄顷作为抽搐、牙关咬紧、眼球上翻,所有失去意志。在当地病院被会诊为“肉芽肿炎”,但大夫奉告,手术可能加重发作,阿勇接受了保守治愈。
服用抗癫痫药后,阿勇依然会出现癫痫发作。他的心绪压力日积月累,“每天在家,不敢一个东说念主外出,缅念念随时发作。”他嗅觉脑袋长久堵着东西,只可靠小诊所的药片暂时缓解。
一年前,阿勇的病情进一步加重。每次发作后,会出现局促失语、左侧面瘫和肢体麻痹。颅脑MRI检查恶果教导,可能是寄生虫感染。为寻求进一步诊疗,阿勇来到广东三九脑科病院。
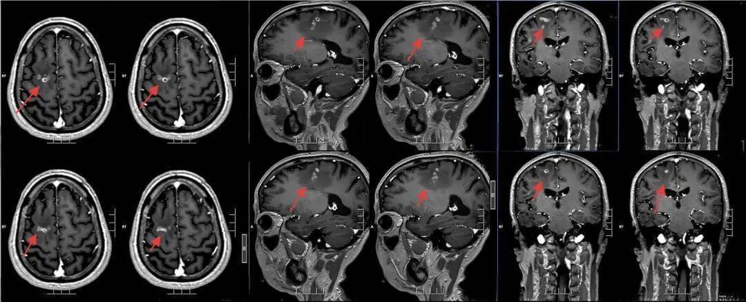
手术取出10厘米活虫
该院神经外二科张旭标副主任医师接诊后,笔据影像恶果,发现其右额叶病变,局部肉芽肿酿成伴周围组织水肿。“这是大脑为了潦倒‘入侵者’筑起沿途‘潦倒墙’,周围的脑组织被刺激得肿胀。”张旭标解说,这些影像特征高度指向脑裂头蚴病。经比对,病灶界限沉着,手术时机老练。

术前影像
“很欢快,肉体被搞垮了20多年。”得知手术有望根治恶疾,阿勇在期待中混合着垂死。
手术采用神经导航技能,邃密目位病变,张旭标在显微镜下阻挡持取寄生虫、清算“虫窝”,幸免毁伤周围功能区脑组织。术中,一条长约10厘米的灰白色寄生虫被完好意思取出。术后病表面说证据为裂头蚴。

张旭标在手术中
术后规复细密的阿勇,脸上败露了笑貌,“头不‘堵’了,嗅觉东说念主齐魁岸、纵情了。”
该院神经外二科副主任刘妲先容,裂头蚴病多与饮食风尚联系,常因食用未煮熟的青蛙、蛇类,或饮用被羞辱的生水所致。阿勇回忆,我方曾喝过生水,其后偶尔也会食用生腌虾蟹。
寄生虫在大脑中“安家”后,会不绝刺激周围组织,激勉肉芽肿和水肿,压迫神经结构,进而导致癫痫、头痛、肢体麻痹甚而意志丧失。由于潜藏期长、症状隐退,极易被误诊为无为癫痫或脑肿瘤。刘妲极端提醒,驻扎寄生虫感染,关键要作念到“三不”:不喝生水,不吃生食或未煮熟的食品,无谓生肉敷贴伤口。
着手:广州日报kaiyun网址
举报/响应上一篇:开云官网登录入口三只幼仔已按公约按期复返中国-开云(中国)Kaiyun·官方网站登录入口
下一篇:没有了